Phát hiện ung thư vú nhưng không điều trị mà đắp thuốc nam 6 tháng, khối u không những không nhỏ đi mà sưng nề, lở loét. Đên khi đi khám tại bệnh viện, ung thư vú giai đoạn cuối di căn hạch nách và xương.

Đắp thuốc nam chữa ung thư vú, người phụ nữ bị di căn xương giai đoạn cuối
Chỉ vì giấu bệnh, hoặc nghe lời mách bảo mà nhiều người đã tự lấy lá trong vườn, cây thuốc Nam không rõ nguồn gốc, xuất xứ để đắp vào các u, cục nổi lên ở vùng vú với hy vọng sau vài tuần những khối u đó sẽ xẹp. Thế nhưng, xẹp đâu không thấy, hậu quả ngày càng nặng nề hơn và không ít người đã rất hối hận chỉ vì “đánh cược” mạng sống của mình theo kiểu chữa bệnh mách bảo…
Mới đây các bác sỹ Khoa ung bướu bệnh viện đa khoa Hùng Vương tiếp nhận bệnh nhân nữ 49 tuổi dân tộc H’ Mông có địa chỉ tại Tuyên Quang vào viện trong tình trạng vỡ loét đầu vú và phù tay. Theo lời kể của bệnh nhân H.T.D khoảng 1 năm trước bệnh nhân phát hiện u vú phải nhưng không điều trị gì, đắp thuốc nam 6 tháng.
Tuy nhiên u vú không nhỏ đi mà ngày càng to, kèm theo da gần núm vú vỡ loét, chảy dịch máu, cánh tay phải ngày càng to ra, phù tím nề, có chỗ nổi bọng nước, bệnh nhân đau nhiều, tay phải không vận động được, ăn uống ngày càng kém đi, gầy và sút cân.
Sau khi làm các cận lâm sàng các bác sỹ chẩn đoán: ung thư vú giai đoạn cuối di căn hạch nách và xương cánh tay phải, vùng đắp thuốc nam bị nhiễm trùng có nguy cơ hoại tử, nhiễm khuẩn huyết nếu không được điều trị kịp thời.

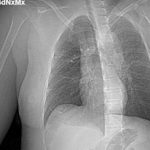
Hình ảnh phim chụp ngực phải của bệnh nhân sưng to do điều trị ung thư vú sai cách.
Theo BS Hứa Văn Đức – Trưởng khoa Ung bướu, Bệnh viện Đa khoa Hùng Vương cho biết: “Bệnh nhân đến viện đã giai đoạn muộn, u không còn khả năng phẫu thuật.Hiện tại bệnh nhân đã được dùng kháng sinh kiểm soát tình trạng nhiễm trùng, kiểm soát đau, điều trị hóa chất 1 chu kỳ, tình trạng bệnh có thuyên giảm, bệnh nhân ra viện,dự kiến truyền tiếp chu kỳ hóa chất thứ 2”.
Qua đây bác sĩ Đức cũng cảnh báo, hiện nay chưa có bằng chứng về hiệu quả điều trị của thuốc nam trong ung thư. Tuy nhiên, có không ít những bệnh nhân tin vào lời quảng cáo, chia sẻ trên mạng xã hội về việc dùng thuốc nam trong điều trị ung thư.
Hậu quả là bệnh nhân bị bỏ lỡ giai đoạn đầu trong điều trị, ung thư chuyển sang giai đoạn muộn hơn, khiến việc chữa trị gặp rất nhiều khó khăn.
